南国早报全媒体记者:唐晓燕
近日,桂林一女子因腹部反复疼痛并持续高烧,到桂林医学院附属医院就医。医生检查后发现,该女子因吃鱼时吞了鱼刺,鱼刺穿透胃壁刺入肝脏,形成肝脓肿。医生为她取出鱼刺,并切除了肝脏脓肿部分,将被鱼刺刺穿的胃进行了修补。
据悉,该女子在家人的陪同下就医,她告诉医生,最近自己上腹部反复胀痛,时常出现高烧怕冷的情况,最高体温达40.5℃,此前去了多家医院诊治仍不见好转。
医生经过详细问诊、检查和评估,诊断出该女士发高烧和上腹胀痛的原因。原来,她在吃鱼时吞了鱼刺,鱼刺进入胃部后从胃壁穿出,刺入肝脏,导致肝脓肿形成。
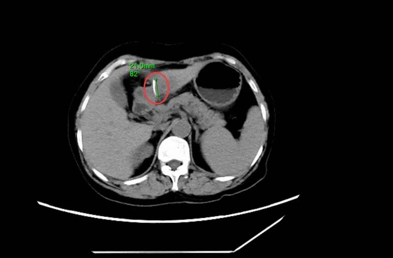
▲影像图片中鱼刺清晰可见。
据了解,该女子平时很喜欢吃鱼,而且吃饭速度比较快。以前也曾遇到过小鱼刺卡喉的情况,可没想到这一次被一根鱼刺伤得这么厉害。
该女子随即被转入肝胆胰外科住院治疗,科主任陈谦诊疗团队根据病情进行了讨论,一致认为需及时手术取出鱼刺,同时进行肝部分切除及胃修补术。医生应用3D腹腔镜手术把鱼刺取出,同时切除了肝脏脓肿部分,并对被鱼刺刺穿的胃进行了修补。
▲影像图片中鱼刺清晰可见。
据医生介绍,在手术中看到,鱼刺连通胃壁和肝左外叶,取出的鱼刺长2.1厘米。手术用时约两个小时,过程比较顺利。手术后,该女子经过7天的治疗观察后顺利出院。
▲取出的鱼刺长2.1厘米。
医生提醒,吃鱼时一定要谨慎,细嚼慢咽,避免吞入鱼刺出现刺伤食道、血管、脏器等情况。如果遇到鱼刺卡喉,干万不要采用咽饭、喝醋等方法,一旦鱼刺从咽喉进入食道、胃,刺穿周边的血管、脏器,有可能引发大出血,应及时就医进行处理。
编辑 梁冰欣
