南国早报全媒体记者:赖武慧
近日,南宁市民小文(化名)体内“潜伏”两年多的一块玻璃片被取出。令人诧异的是,小文及其家属对这块玻璃的存在竟然毫不知情。
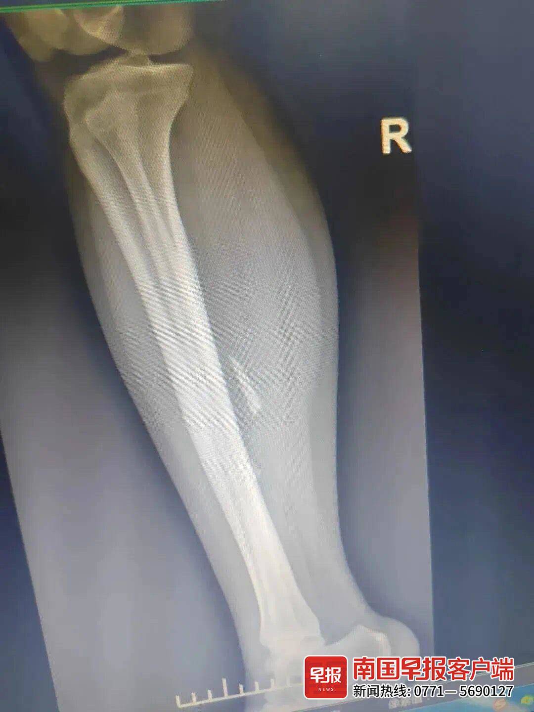
小腿疼痛 原来有玻璃“潜伏”其中
今年29岁的小文患有多年的精神类疾病,几个月前,她总是叫嚷小腿痛,一开始家里人并没有放在心上。前段时间,为治疗小文的精神类疾病,家人带她到心理专科医院检查,并跟医生提及小文小腿疼痛一事。医生给小文拍片检查后发现,她的右侧小腿中段胫骨旁有异常密度影,疑似有异物残留。为进一步治疗,家人又带着小文到广西中医药大学附属瑞康医院就医。
▲图为患者患处的影像资料。医院提供
据患者家属介绍,两年多前,小文右小腿曾被玻璃扎伤,但因伤口较小,家人未给予足够重视,并未让小文作拍片检查,只对伤口进行了简单处理。后来,小文小腿的伤口自行愈合了。
瑞康医院创伤骨科与手外科副主任医师董盼锋给小文作了相关检查后发现,她右小腿异物的位置与原有瘢痕位置有一定距离,考虑异物进入体内后随着肌肉收缩发生了位移。
▲医生从患者体内取出的玻璃。
“异物已在体内存在两年多时间,与周围组织粘连较严重,必须更精准地给异物定位,清楚了解其与周围血管、神经的关系。”医生决定为小文进行肌骨超声定位。手术很顺利,在术前彩超定位下,医生很快就在小文的小腿肌肉中找到了异物:一块长约4厘米、厚约0.3厘米、顶部尖锐的锥形玻璃块。所幸玻璃并未伤及重要的血管神经,否则后果堪忧。异物取出后,大家都松了一口气。
误吞鱼刺 一个月后肠道穿孔
今年61岁的黄先生也曾有过类似经历。
去年3月,他无意中发现右下腹有一个肿块,便到医院就诊。医生检查后发现,黄先生的右下腹腔前部病变,考虑炎性感染性病变伴脓肿形成可能。当医生追问病史,他这才想起一个月前他曾吞下一根较硬的鱼刺。
在医生建议下,黄先生住院接受手术治疗。在腹腔镜探查术下,医生发现黄先生腹部存在多处组织粘连,回肠有一处穿孔,内见一根长约5厘米的鱼刺经破孔刺出,右下腹壁粘连带呈慢性炎症性增厚。取出鱼刺后,经过医生精心调理,黄先生几天后就康复了。
医生提醒,受到外伤后,一定要及时、彻底地清创,如果怀疑有异物残留,最好及时就医检查和治疗。锐利的金属异物进入体内后可能会游走,一旦游走至重要器官边缘,会造成不良后果。
本文由南国早报原创出品,未经许可,任何渠道、平台请勿转载。违者必究。
编辑 莫妮娜
校对 胡来彦
责编 胡志伟
审核 孙妮
