通讯员:付凯婧 肖湘
半年前,黄大爷发现自己的右手右脚越来越“不听话”,起初只是有点没力气,他以为是年纪大了的正常现象,没有放在心上。然而一个多月前,情况急转直下,他的右侧身体彻底“罢工”出现偏瘫,于是家人赶紧将他送往广西壮族自治区人民医院。
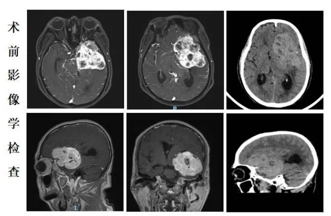
入院时,黄大爷右侧肢体的肌力评级为0级,这意味着他的右手和右脚完全动不了。随后的头部磁共振检查发现,导致这一切的“元凶”,是一个约8×7×6厘米大小的脑膜瘤,体积接近一个成人拳头。长在这个位置、这么大的肿瘤,就像在脑子里埋了一颗不定时“炸弹”。正是肿瘤压迫了大脑的重要功能区,才导致患者半身瘫痪。
面对这一高风险病例,手术成为主要选择,但难度极大。肿瘤位置深、血供丰富,周围密布重要神经和血管,稍有不慎就可能造成严重后遗症。经过充分评估和周密准备,该院神经外科专家团队为黄大爷实施了开颅肿瘤切除手术。手术持续了数小时,医生在“神经丛林”中进行精细操作,最终将肿瘤完整切除,确保病灶被彻底清除。
术后的监护和康复同样是一场硬仗。黄大爷在神经外科重症监护室接受了24小时密切监护,慢慢地,他从完全不能动,到可以抬臂、坐起、站立……身体功能逐步恢复。如今,他已行走自如,精神饱满,未留下明显后遗症。
据该院神经外科副主任胡北泉介绍,脑膜瘤是颅内最常见的原发性肿瘤之一,起源于覆盖大脑和脊髓表面的薄膜,约占所有颅内肿瘤的30%。其中约90%为良性,仅有少数具有侵袭性或恶性特征。尽管脑膜瘤生长缓慢、症状隐蔽,但若压迫关键脑区,仍可能引发严重后果。医生提醒,若出现不明原因的头痛、视力下降、嗅觉异常、听力减退等症状,应及时就医排查。
编辑 谭奕
责编 潘雯瑜
审核 张若凡
